1. صفحه اصلی
    • پربیننده‌ترین اخبار
    • مهمترین اخبار
    • آرشیو اخبار
  2. سیاسی
    • سیاست ایران
    • نظامی | دفاعی | امنیتی
    • گزارش و تحلیل سیاسی
    • مجلس و دولت
  3. امام و رهبری
  4. ورزشی
    • فوتبال ایران
    • فوتبال جهان
    • والیبال | بسکتبال | هندبال
    • کشتی و وزنه‌برداری
    • ورزش های رزمی
    • ورزش زنان
    • ورزش جهان
    • رشته های ورزشی
  5. بین الملل
    • دیپلماسی ایران
    • تولیدات دفاتر خارجی
    • آسیای غربی
    • افغانستان
    • آمریکا
    • اروپا
    • آسیا-اقیانوسیه
    • پاکستان و هند
    • ترکیه و اوراسیا
    • آفریقا
    • بیداری اسلامی
  6. فضا و نجوم
  7. اقتصادی
    • اقتصاد ایران
    • پول | ارز | بانک
    • خودرو
    • صنعت و تجارت
    • نفت و انرژی
    • فناوری اطلاعات | اینترنت | موبایل
    • کار آفرینی و اشتغال
    • راه و مسکن
    • هواشناسی
    • بازار سهام | بورس
    • کشاورزی
    • اقتصاد جهان
  8. اجتماعی
    • پزشکی
    • رسانه
    • طب سنتی
    • خانواده و جوانان
    • تهران
    • فرهنگیان و مدارس
    • پلیس
    • حقوقی و قضایی
    • علم و تکنولوژی
    • محیط زیست
    • سفر
    • حوادث
    • آسیب های اجتماعی
    • بازنشستگان
  9. فرهنگی
    • ادبیات و نشر
    • رادیو و تلویزیون
    • ‌دین ، قرآن و اندیشه
    • سینما و تئاتر
    • فرهنگ حماسه و مقاومت
    • موسیقی و تجسمی
  10. حوزه و روحانیت
  11. استانها
    • آذربایجان‌ شرقی
    • آذربایجان غربی
    • اردبیل
    • اصفهان
    • البرز
    • ایلام
    • بوشهر
    • استان تهران
    • چهارمحال و بختیاری
    • خراسان جنوبی
    • خراسان رضوی
    • خراسان شمالی
    • خوزستان
    • زنجان
    • سمنان
    • سیستان و بلوچستان
    • فارس
    • قزوین
    • قم
    • کاشان
    • کردستان
    • کرمان
    • کرمانشاه
    • کهگیلویه و بویراحمد
    • گلستان
    • گیلان
    • لرستان
    • مازندران
    • مرکزی
    • هرمزگان
    • همدان
    • یزد
    • جزایر خلیج فارس
  12. رسانه ها
    • چند رسانه ای
    • خواندنی
  13. بازار
    • قیمت خودرو
    • قیمت طلا، سکه و ارز
    • سازمان‌ها و شرکت‌ها
  14. عکس
  15. فیلم
  16. گرافیک و کاریکاتور
    • english
    • عربی
    • Türkçe
    • עברית
    • Pусский
  • RSS
  • تلگرام
  • اینستاگرام
  • توییتر
  •  
    آپارات
  •  
    سروش
  •  
    آی‌گپ
  •  
    گپ
  •  
    بله
  •  
    روبیکا
  •  
    ایتا
  • قیمت ارز و طلا
    لیگ ایران و جهان
  • صفحه اصلی
    • پربیننده‌ترین اخبار
    • مهمترین اخبار
    • آرشیو اخبار
  • سیاسی
    • سیاست ایران
    • نظامی | دفاعی | امنیتی
    • گزارش و تحلیل سیاسی
    • مجلس و دولت
  • امام و رهبری
  • ورزشی
    • فوتبال ایران
    • فوتبال جهان
    • والیبال | بسکتبال | هندبال
    • کشتی و وزنه‌برداری
    • ورزش های رزمی
    • ورزش زنان
    • ورزش جهان
    • رشته های ورزشی
  • بین الملل
    • دیپلماسی ایران
    • تولیدات دفاتر خارجی
    • آسیای غربی
    • افغانستان
    • آمریکا
    • اروپا
    • آسیا-اقیانوسیه
    • پاکستان و هند
    • ترکیه و اوراسیا
    • آفریقا
    • بیداری اسلامی
  • فضا و نجوم
  • اقتصادی
    • اقتصاد ایران
    • پول | ارز | بانک
    • خودرو
    • صنعت و تجارت
    • نفت و انرژی
    • فناوری اطلاعات | اینترنت | موبایل
    • کار آفرینی و اشتغال
    • راه و مسکن
    • هواشناسی
    • بازار سهام | بورس
    • کشاورزی
    • اقتصاد جهان
  • اجتماعی
    • پزشکی
    • رسانه
    • طب سنتی
    • خانواده و جوانان
    • تهران
    • فرهنگیان و مدارس
    • پلیس
    • حقوقی و قضایی
    • علم و تکنولوژی
    • محیط زیست
    • سفر
    • حوادث
    • آسیب های اجتماعی
    • بازنشستگان
  • فرهنگی
    • ادبیات و نشر
    • رادیو و تلویزیون
    • ‌دین ، قرآن و اندیشه
    • سینما و تئاتر
    • فرهنگ حماسه و مقاومت
    • موسیقی و تجسمی
  • حوزه و روحانیت
  • استانها
    • آذربایجان‌ شرقی
    • آذربایجان غربی
    • اردبیل
    • اصفهان
    • البرز
    • ایلام
    • بوشهر
    • استان تهران
    • چهارمحال و بختیاری
    • خراسان جنوبی
    • خراسان رضوی
    • خراسان شمالی
    • خوزستان
    • زنجان
    • سمنان
    • سیستان و بلوچستان
    • فارس
    • قزوین
    • قم
    • کاشان
    • کردستان
    • کرمان
    • کرمانشاه
    • کهگیلویه و بویراحمد
    • گلستان
    • گیلان
    • لرستان
    • مازندران
    • مرکزی
    • هرمزگان
    • همدان
    • یزد
    • جزایر خلیج فارس
  • رسانه ها
    • چند رسانه ای
    • خواندنی
  • بازار
    • قیمت خودرو
    • قیمت طلا، سکه و ارز
    • سازمان‌ها و شرکت‌ها
  • عکس
  • فیلم
  • گرافیک و کاریکاتور

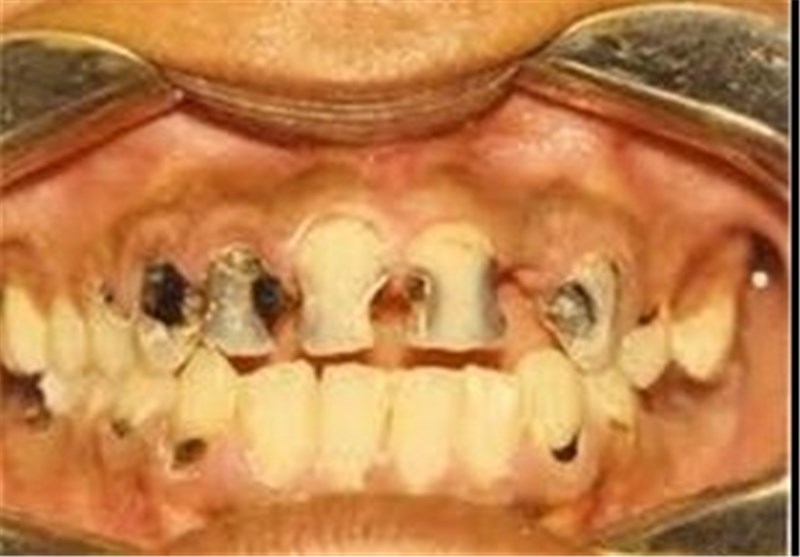
"پوسیدگی" بالاترین شیوع بیماری دندان‌ها + بهترین راهکار

  • 29 شهريور 1394 - 01:30
  • اخبار اجتماعی
"پوسیدگی" بالاترین شیوع بیماری دندان‌ها + بهترین راهکار

عضو هیات علمی دانشکده دندانپزشکی شهید بهشتی با اشاره به اینکه "پوسیدگی" بالاترین شیوع بیماری دندان‌ها است، با ارائه راهکاری برای برون رفت از این معضل از برگزاری نخستین سمپوزیوم دستیاران تخصصی ترمیمی و زیبایی در کشور خبر داد.

اجتماعی

امیر قاسمی در گفت‌وگو با خبرنگار سلامت خبرگزاری تسنیم، با اشاره به برگزاری نخستین سمپوزیوم دستیاران تخصصی ترمیمی و زیبایی اظهار کرد: نخستین سمپوزیوم دستیاران تخصصی ترمیمی و زیبایی همزمان با پانزدهمین کنگره متخصصین دندانپزشکی ترمیمی و زیبایی با هدف ارتقاء سطح علمی و ایجاد بستری مناسب جهت هم اندیشی متخصصین ترمیمی و با رویکرد اختصاصی به نیازهای علمی و شغلی همکاران آینده‌مان در عرصه دندانپزشکی ترمیمی و زیبایی در تاریخ 21 آبان ماه در هتل المپیک تهران برگزار می‌شود.

وی عنوان کرد: این سمپوزیوم در یک برنامه کامل یک روزه برای متخصصین جوان ما برگزار می شود چرا که سرمایه گذاری در تامین نیروهای کارآمد و متخصص برای یک جامعه نشانگر شاخصه های بالاتری از پیشرفت در جامعه امروزی است.

عضو هیات علمی دانشکده دندانپزشکی شهید بهشتی گفت: بی‌شک دستاوردهای آموزشی و فرهنگی که از این گردهمایی به دست خواهد آمد بر همه اساتید و همکاران روشن است و بدیهی است که بهبود و کیفیت علمی و افزایش تبادلات و تجربیات علمی و هماهنگی بین تفکرات و مکاتبات مختلف باعث آماده سازی آینده سازان این رشته خواهد شد.

قاسمی عنوان کرد: مخاطبین این سمپوزیوم دستیاران تخصصی ترمیمی و زیبایی دانشکده‌های دندانپزشکی سراسر کشور خواهند بود و برنامه‌های متنوعی در قالب سخنرانی‌هایی با موضوعات مورد نیاز این گروه و همچنین برگزاری کارگاه ایمپلنت اجرا خواهد شد و در پایان روز سمپوزیوم مسابقه ای بین دستیاران جهت سنجش دانش و مهارت علمی و عملی آنها برگزار خواهد شد و جوایز نفیسی نیز به نفرات برتر اعطا می شود.

عضو هیات علمی دانشکده دندانپزشکی شهید بهشتی بیان داشت: بالاترین شیوع بیماری دندانها در پوسیدگی است که باعث تخریب دندان‌ها و از دست دادن آنها می‌شود و از آنجایی که خدمات درمانی دندانپزشکی تحت بیمه نیستند در نتیجه هزینه‌های سنگینی را به مردم وارد می‌شود و بهترین راهکار آموزش بهداشت همگانی و تلاش رسانه‌های جمعی و وزارت بهداشت و دندانپزشکان هستند که تمرکز را به سمت بهداشت و پیشگیری سوق دهند تا درمان.

رئیس نخستین سمپوزیوم دستیاران تخصصی ترمیمی و زیبایی گفت: هدف از برگزاری این سمپوزیوم گردآوری اطلاعات و تجربیات دانشکده‌های دندانپزشکی به متخصصین جوان است تا سطح دانش شان افزایش یابد تا بتوان به مردم بهتر خدمت کنند، همچنین در تلاشیم انگیزه و تشویق بین رزیدنت‌های رتبه‌های برتر افزایش یابد و حتی برای حل مشکلات تحصیلی و صنفی‌شان کمک شود.

همزمان با برگزاری پانزدهمین کنگره بین المللی انجمن متخصصین دندانپزشکی ترمیمی ایران اولین سمپوزیوم دستیاران تخصصی ترمیمی و زیبایی با هدف ارتقا و پیشرفت قشر جوان جامعه متخصصین ترمیمی کشور و بهبود سلامت جامعه در تاریخ 21 آبان ماه در هتل المپیک تهران برگزار می‌شود.

انتهای پیام/

 
R1014143/Pne
قیمت ارز و طلا
لیگ ایران و جهان
حج و زیارت
بیشتر بخوانید
پنچ توصیه حیاتی برای جلوگیری از بیماری‌های مخفی دندان‌ها
ارتباط مستقیم بیماری قلبی و مشکلات دندانی
تعداد دندان‌های پوسیده هر ایرانی
اعلام آزمون کتبی و شفاهی دانشنامه تخصصی دندانپزشکی
مخترع ایمپلنت‌های دندانی جهان در راه ایران
tasnim
tasnim
tasnim
رازی
مادیران
شهر خبر
fownix
غار علیصدر
پاکسان
بیمه بازار
طبیعت
میهن
گوشتیران
triboon
تبلیغات
  • طراحی سایت
  • بازرگانی سیب
  • آیا بیماری اسکولیوز خطرناک است؟
  • استعلام شرکت با نام
  • بازی آنلاین
  • درباره ما
  • ارتباط با ما
  • پربیننده‌ترین اخبار
  • پیوندها
  • بازار
  • قیمت ارز و طلا
  • لیگ ایران و جهان
  • آرشیو اخبار ؛ جدیدترین اخبار لحظه به لحظه امروز
ما را دنبال کنید:
  • RSS
  • تلگرام
  • اینستاگرام
  • توییتر
  • آپارات
  • سروش
  • آی‌گپ
  • گپ
  • بله
  • روبیکا
  • ایتا

All Content by Tasnim News Agency is licensed under a Creative Commons Attribution 4.0 International License.