خبرگزاری تسنیم/
... صفی بستهاند به طویلی صفهای قدیم "شیر و گوشت کوپنی" - با همان چهرهای خاکی و لباسهای کهنه و مندرس؛ دیر داخل میشوند و سریع بیرون میآیند - وجه اشتراک همه آنها صورتهای است که با دستی بر گونه چروکیدهشان گرفتهاند، و به محض بیرون آمدن نیز پنبه ای خونی در دهان - همه هم میکشند، دندان پوسیدهشان را میکشند...
صحنههای که به وفور میتوان در کاروانهای جهادی دندانپزشکان در مناطق محروم رویت کرد، کما اینکه راه دوری هم میتوان نرفت، و به قول یکی از همکاران «یک زمانی در یکی از درمانگاههای جنوب تهران که کار دندانپزشکی هم انجام میداد یک "سطل دندان کشیده" دیدم».
روایت تلخیست، دخترک عروسک به دست وارد کانکس میشود، با کلی ترفند و مهربانی خانم دندانپزشک روی کیت دندانپزشکی مینشیند، لحظهای نمیگذرد که جیغ دخترک و دست و پا زدن او فضای کانکس سیار دندانپزشکی را در گوشها پُر میکند، پنس خانم دندانپزشک در دهان دخترک بر جیغهای او میافزاید،... «تمام شد - اینهمه کولی بازی نداشت که - صبر کن هنوز یه خورده کوچیک دندنونت مونده - اگر اینطوری جیغ بزنی دندونت را نمیتونم بکشمها».
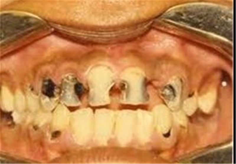
«کشیدن» واژه ای آشنا برای بهداشت دندانی ما ایرانیها، چشم باز کردیم و دندان درآوردیم ولی بیشتر دندان کشیدیم، امکان ندارد و یا نادر است یک ایرانی در سنین مختلف پیدا کنی که مشکل دندانی نداشته باشد به وفور هم میتوانی افرادی را مشاهده کنی که به دلیل هزینههای سنگین دندانپزشکی به راحتی دندانشان را میکشند و چشم بر سرمایه 100 میلیونی تومانی دندانهای خود میبندند.
هزینههای سرسام آور دندانپزشکی از جمله رنجهای مهم مردم کشورمان است، بطوریکه کافی است هر کدام از این مردم، دهانشان را باز کنند تا انبوهی از دندانهای پوسیده و سیاه؛ این رنج بیصدا را فریاد زند.
این در حالی است که کشور ما از نظر تعداد دندانپزشک شرایط نامناسبی ندارد، ولی با وجود انبوه دانشکدههای دندانپزشکی، متاسفانه بهداشت دهان مردم در شرایط مناسبی قرار ندارد، کما اینکه در قالب طرح تحول سلامت برای 7 میلیون دانش آموزان اقدامات گسترده پیشگیری از پوسیدگی دندانی در حال انجام است.
جوانان، بزرگسالان و سالمندان محروم از خدمات مناسب و کم هزینه دندانی
ولی همین طرح ملی خوب نیز دارای نواقصی است و اینکه این طرح با وجود مزایای بسیار، فقط شروعی برای ارتقای بهداشت دندانی مردم آن هم در سنین پایین است یعنی جوانان، بزرگسالان و سالمندان هنوز از خدمات مناسب و کم هزینه دندانی محروم هستند.

وقتی نیم نگاهی هم به قیمت خدمات مراکز دندانپرشکی، آن هم در مناطق متوسط تهران میاندازی - با دیدن هزینههای خدمات دندانی مثلاً کشیدن یک دندان معمولی به مبلغ 70 هزار تومان، به خوبی علت هجوم مردم در مناطق محروم به گروههای جهادی دندانپزشکی را درک خواهی کرد.
کشیدن یک «دندان پوسیده» برابر با هزینه دو کیلو «گوشت درجه یک»
مردمی که حاضرند یک روز در زل آفتاب و تیزی گرما صف بایستند تا یک دندان آنها؛ که حتی شاید میتوانستند ترمیم و یا پُر کنند، بکشند، زیرا مردمی که پول یک کیلو گوشت را ندارند! چطور میتوانند خود را راضی کنند که برای کشیدن یک دندان پوسیده پول دو کیلو گوشت را بدهند.
بیتوجهی و ضعف بیمهها در حمایت از هزینه خدمات دندانپزشکی
و در نهایت مانند بسیاری از مشکلات سلامت در انتها به بی توجهی و ضعف بیمه ها و عدم حمایت آنها از خدمات دندانپزشکی می رسیم.
ارزش دندانهای هر فردی «100 میلیون تومان»
البته برخی از خدمات دندانپزشکی از جمله کشیدن دندان تحت پوشش بیمه است ولی همین امر باعث شده است مردم ارزانترین خدمت دندانی که همانا کشیدن دندان است را انتخاب کنند درحالیکه ارزش دندان های هر فردی می تواند گاهی تا 100 میلیون تومان برای ترمیم و کاشت ایمپلنت برسد، بطوریکه کاوه سیدان، - دندانپزشک و استاد دانشکده دندانپزشکی دانشگاه علوم پزشکی شهید بهشتی می گوید: در دهان هر انسان بیش از 100 میلیون تومان سرمایه دندانی وجود دارد، بنابراین صرف بیمه کشیدن دندان علاجی از مشکلات دندانی مردم نمی کاهد.
بیتفاوتی بیمههای ایران در عرصه دندانپزشکی قابل قبول نیست
حال این درحالی است که سلامت دهان و دندان با سلامت قلب و عروق، سلامت روانی و سلامت عمومی بدن رابطه تنگاتنگی دارد و تا زمانی که بیمهها وارد حیطه دندانپزشکی نشوند و مردم را تحت پوشش پیشگیریها و درمانهای دندانپزشکی قرار ندهند، تحولی در نظام سلامت روی نخواهد دارد.
گرانی هزینههای دندانپزشکی یکی از دلایل کاهش مراجعه افراد به دندانپزشکی و انجام ترمیم دندانهای پوسیده است تا جائیکه باعث افزایش پوسیدگی و بیماریهای دهان و دندان میشود. با توجه به اینکه سازمان بهداشت جهانی در دستور کار خود در سال 2020، بهبود شاخصهای سلامت دهان را قرار داده است نشان از توجه به این مقوله از حوزه سلامت است.
از سویی دیگر در کشور ما به مسائل پیشگیرانه توجه چندانی نمیشود که غفلت از این مسئله سبب افزایش شاخص پوسیدگی دندانی در افراد 35 تا 44 ساله کشورمان شده است.
هزینههای دندانپزشکی از نظر بسیاری از مردم گران است
هزینههای دندانپزشکی از نظر بسیاری از مردم گران است، واقعیت این است که بسیاری از مردم از عهده هزینههای دندانپزشکی برای نگهداری دندانهای خود بر نمیآیند و یکی از عوامل بیدندانی در کشور ما، مشکلات مالی مردم و نداشتن پول کافی برای درمانهای دندانپزشکی است. درحالیکه این دلیل تنها عامل شیوع بیدندانی نیست و بیدندانی که یک نوع معلولیت تلقی میشود که علل متنوعی دارد.
بیمه از خدمات دندانپزشکی حمایت نکند بهداشت دندانی معنا پیدا نمیکند
در این رابطه وقارالدین اخوان زنجانی - رئیس کنگره انجمن ترمیمی متخصصین دندانپزشکی ترمیمی و زیبایی ایران با تأکید بر تأثیر دندانهای شیری برای جلوگیری از ارتودنسی در بزرگسالی میگوید: بیمه از خدمات دندانپزشکی حمایت نکند بهداشت دندانی معنا پیدا نمیکند و در کشورهای دیگر بیمه دندان حمایت میشود.
اخوان زنجانی در ادامه عنوان میکند: بیمه واقعاً در تمام رشتههای پزشکی ورود کند به خصوص در دندانپزشکی و باید بیمه در حوزه دندانپزشکی مسئولیت خود را عمل کند و باید یک چارچوب درستی پایهریزی شود زیرا اگر بیمه کمک نکند اصلاً در دندانپزشکی کار نمیشود انجام داد، باید در قسمت دندانپزشکی افراد خیر نیز ورود پیدا کنند، به هر حال ملت ما نجیب است و تعداد مدارسی که خیرین میسازند کمتر از بودجه کشور نیست بنابراین میتوان از آنان در حوزه دندانپزشکی نیز کمک گرفت.
وی تصریح میکند: در کشورهای دنیا مانند آمریکا و انگلیس بیمه دندانپزشکی وجود دارد ولی سطح بهداشت و انتظارات مردم آنها فرق میکند ولی ما باید براساس نیاز مردم خود برای بیمه دندانپزشکی اقدام شود.
دندانپزشک خانواده ضروری است
وی درباره دندانپزشکی خانواده توضیح میدهد: ایده دندانپزشکی خانواده احتمالا ارائه شده ولی جدی گرفته نمیشود، مسئله دندانپزشکی به فرهنگسازی نیاز دارد، به هر حال دندانپزشکان در وزارت بهداشت نقش خاصی ندارند و بیشترین سایه مدیریتی بر حوزه درمان است.
اخوان زنجانی ادامه میدهد: در کشورهای پیشرفته رفتن به دندانپزشک یک فرهنگ شده است، سواد و فرهنگ هر چه بالاتر رود و حساسیتها به دندانپزشکی بیشتر شده و به معنای آن است که سواد در این حوزه نسبت به 4 دهه پیش بیشتر شده است. مثلاً یک آماری که از وزرت بهداست گرفتیم این بود که در سن 35 تا 44 سال شاهد از دست دادن دندانها در کشور هستیم و باید این آمار پایین بیایید.
هزینههای دندانپزشکی ایران در مقایسه با جهان
در مقایسه با بیشتر کشورهای دنیا هزینههای دندانپزشکی در ایران بسیار پایین است، چه نسبت سرانه درآمد مردم، چه برابری ارزهای خارجی با ریال و چه هر مقیاس کمی یا کیفی قابل مقایسهای را در نظر بگیریم، هزینه دندانپزشکی در ایران "گران" نیست.
قیمت این خدمات در تمام دنیا حتی در کشورهای همسایه ما و حتی کشورهای عقبمانده تر از ما در حوزه پزشکی و فناوری، گرانتر است. ارزش خدمات دندانپزشکی به طور ذاتی در همه جای دنیا گران است و راهکار حل این معضل بزرگ مطمئناً «پایین آوردن» قیمت هزینههای دندانپزشکی نیست.
جالب اینجاست که ایران از نظر دندانپزشکی به طور بالقوه یکی از مراکز دنتال توریسم دنیا محسوب میشود و بسیاری از ایرانیان مقیم خارج کشور و حتی غیرایرانیان کشورهای همسایه برای درمانهای خود به ایران مراجعه میکنند!چرا که با کیفیت بالاتر میتوانند از درمانهای ارزانتری برخوردار شوند.
علت گرانی خدمات دندانپزشکی
خدمات دندانپزشکی همه جای دنیا قیمت تمام شده بالایی دارد؛ سابق بر این از طلا در دندانپزشکی زیاد استفاده میشد. امروزه استفاده از خود طلا در دندانپزشکی چندان شایع نیست ولی مواد و تجهیزاتی که استفاده میشوند ارزش کمتر از طلا ندارند! مواد و تجهیزات گران قیمت تنها دلیل گرانی هزینههای دندانپزشکی نیست.
دندانپزشکی یک کار بسیار تخصصی بالینی-کلینیکی است، مجریان آن آموزشهای زیادی میبینند و حتی بعد از تمام شدن دوران تحصیلات رسمیشان در دانشگاه، آموزش مداوم و کسب مهارت کماکان ادامه مییابد.
عمر کاری دندانپزشکان به دلیل صدمات وارد شده در کار بدنی و پراسترس طولانی مدت محدود است، ذات خدماتی این رشته در قالب خدمات بسیار تخصصی، ذات درمانی رشته و استهلاک بالای سرمایه آن و ارزش ذاتی خدمات بی بدیل و بدون جایگزینی آن (درمان درد و جلوگیری از از دست رفتن دندانها) موجب میشود که هزینههای دندانپزشکی در همه جای دنیا، خدمات باارزشی محسوب بشوند.
در صورتیکه مردم مجبور باشند همه هزینههای دندانپزشکی خود را خودشان بپردازند، فشار اقتصادی بسیار زیادی به آنها وارد میشود، ولی باید قبول کنیم که "طلا" در همه جای دنیا گران است و نمیتوان در کشور یا شهری طلا را ارزانتر از قیمت حقیقی آن عرضه کرد!
مردم در برابر هزینههای سرسام آور دندانپزشکی چه کنند؟
در سالهای اخیر سیاستهای دولت بیشتر در راستای افزایش تعداد دانشکدههای دندانپزشکی و دندانپزشکان بوده است. ولی حقیقت این است که با افزایش تعداد دندانپزشکان هزینه درمان دندانپزشکی کاهش نخواهد یافت، کما اینکه با افزایش تعداد طلافروشیها یا فرشفروشیها نمیتوان قیمت طلا یا فرش را کاهش داد! آنچه مسلم است هزینه خدمات درمانی دندانپزشکی قابل تقلیل نیست،تعرفه گذاری خدمات دندانپزشکی هم با توجه گستره خدمات دندانپزشکی راهحلی جهت کاهش هزینههای مردم نخواهد بود؛بنابراین سیاست درست ارائه خدمات دندانپزشکی پیشگیرانه، ایفای نقش پررنگ تر توسط بیمهها و کاهش نیاز مردم به خدمات تخصصی دندانپزشکی باید باشد.
دندانپزشکان و افراد مراجعه کننده از اینکه مراجعین قادر به پرداخت هزینههای دندانپزشکی نیستند متضرر میشوند، دندانپزشکان مستقیماً در تعامل با مردم هستند و وقتی مردم قادر به پرداخت هزینهها نباشند، دندانپزشکان زیان میکنند.
اما چه اقداماتی میتواند فشار هزینههای سنگین و سرسامآور دندانپزشکی را بر روی مردم کاهش دهد؟ پاسخ این سؤال در درجه اول بیمهها است.
بیمهها در بیشتر کشورهای دنیا در دندانپزشکی فعال هستند
در بیشتر کشورهای دنیا بیمهها در دندانپزشکی برخلاف کشور ما فعال هستند، در این میان چند راهکار برای اجرای شدن ایفای نقش بیمهها در برنامههای پیشگیری میتوان مد نظر قرار داد، از یک سو سیاست بیمهها (بیمه گر) کاهش ریسک برای مشتری (بیمه گذار) است، بیمهها میتوانند اقداماتی صورت دهند که ریسک پوسیدگی دندانی را برای مردم کاهش دهند و در برنامههای پیشگیری مشارکت داشته باشند، تا زمانی که بیمهها وارد حیطه دندانپزشکی نشوند و مردم را تحت پوشش پیشگیریها و درمانهای دندانپزشکی قرار ندهند، تحولی در نظام سلامت دندانپزشکی که تقریباً تمام بار آن بر روی بخش خصوصی است روی نخواهد دارد.
از طرفی دیگر جا افتادن اهمیت سلامت دهان و دندان و هزینه برای پیشگیری توسط مردم است که نکته مهم است، این موضوع باید در سبد هزینههای خانواده سهم سلامت دهان و دندان باید لحاظ شود، سلامت دهان و دندان با سلامت قلب و عروق، سلامت روانی و سلامت عمومی بدن رابطه تنگاتنگی دارد.
خانوادهها باید از همان ابتدا سهمی از مخارج خانواده را برای سلامت دهان و دندان خود و فرزندان خود اختصاص دهند، بالطبع این سهم بیشتر در پیشگیری هزینه خواهد شد و جلوی نیاز به خدمات تخصصی و پرهزینه دندانپزشکی را در آینده خواهد گرفت!
از طرف دیگر این حق السهم در بیمهها برای تأمین مخارج درمانی سلامت دهان و دندان صرف خواهد شد، جنبه دیگر این لحاظ سهم خانوار در هزینههای بهداشت دهان و دندان، فرهنگ سازی در مورد اهمیت و ارزش سلامت دهان و دندان است که بالطبع تبعات پیشگیرانه بیشتری خواهد داشت.
همچنین سیاستهای مالیاتی برای عواملی که سلامت دهان و دندان مردم را دچار مخاطره میکنند مهم است و این عوامل باید سهم خود را از آسیبی که میزنند بپردازند. تولیدکنندگان مواد آسیب زا باید درصدی از آسیبی که به دهان و دندان مردم وارد میکنند در قالب پرداختهای مستقیم یا مالیاتی جبران کنند
تولیدکنندگان مواد آسیب زا به سلامت مردم،مانند تولیدکنندگان خوراکیهای قندی، نوشابهها و نوشیدنیهای حاوی قند و غیره باید درصدی از آسیبی را که به دلیل سود مالی خود به سلامت دهان و دندان میزنند و زیانهای کلان مالی که به دوش میافکنند رادر قالب پرداختهای مستقیم یا مالیاتی جبران کنند.
جرم گیری دندان بیمه شود
همچنین حسن اسلامی - متخصص دندانپزشکی ترمیمی و دبیر علمی شانزدهمن کنگره انجمن ترمیمی متخصصین دندانپزشکی ترمیمی و زیبایی ایران با درخواست برای بیمه شدن جرم گیری معتقد است:: نخ دندان برای بزرگسالان بسیار موثرتر از مسواک برای جلوگیری از پوسیدگی دندانی است.استفاده از نخ دندان باعث فاصله گرفتن دندانها نمیشود در حالیکه در سنین بالای 12 سال، برای جلوگیری از پوسیدگی مؤثرتر از مسواک، استفاده از نخ دندان است. و متاسفانه هنوز تحصیلکردگان فکر میکنند که جرمگیری ضرر دارد در حالیکه در کشورهای موفق جرم گیری تحت پوشش بیمه قرار میگیرد.
برای دندان سالم - شیر و لبنیات یارانه عرضه شود
همچنین سیاست مصرف مواد غذایی مضر را برای مردم پرهزینه میکند و بیشترین نفع را از این سیاست اقشار آسیب پذیر میبرند، از سوی دیگر شیر و لبنیات باید با یارانه عرضه شوند یا اقشار آسیب پذیربه طور خاص به این مواد دسترسی ارزانتری داشته باشند تا مردم از عهده مصرف مواد مفید برای سلامتی خود بر بیایند.
دولتمردان اهمیت بهداشت دهان و درمان را بر روی سلامت عمومی جامعه درک کنند
بحث دیگر بودجه بهداشت و درمان است، دولتها در برابر سلامت شهروندان خود مسئول هستند، درصدی از بودجه هر کشوری صرف بهداشت و درمان میشود و در صورتیکه دولتمردان اهمیت بهداشت دهان و درمان را بر روی سلامت عمومی جامعه درک کنند، قسمتی از این بودجه هم باید صرف پیشگیری و درمان بیماریهای دهان و دندان شود.
از طرفی الگوی صحیح تغذیه در مسئله پیشگیری از مشکلات دهان و دندان مؤثر است، متأسفانه در مدارس ما، امروزه مصرف تنقلات دندانی، مواد شیرین در زنگهای تفریح به صورت عادتی مضرّ درآمده است و میتواند همه درمانهای ییشگیرانه را با شکست مواجه کند و هزینه سنگینی را به دولت و خانواده تحمیل کند.
این امر لزوم همکاری وزارت آموزش و پرورش و وزارت بهداشت را برای تدوین برنامه مناسب علمی، جایگزینهای مناسب تغذیهای در مدارس بیشتر نمایان میکند.
در این رابطه سید حسن هاشمی - وزیر بهداشت در شانزدهمین کنگره دندانپزشکی ترمیمی و زیبایی عنوان کرد: « متاسفانه طی دهههای گذشته شاهد توفیق مهمی در کاهش ابتلا به بیماری های دهان و دندان به ویژه پوسیدگی های دندانی نبودیم» - «البته شیوع پوسیدگی دندانی از معضلات نظامهای سلامت دهان در تمام جهان است و کشور ما هم با وجود متخصصان متبحر از این مشکل فراگیر در امان نبوده و نیست».
هاشمی، ادامه میدهد: «طی دهههای گذشته نیز شاهد توفیق مهمی در کاهش ابتلا به بیماریهای دهان و دندان به ویژه پوسیدگیهای دندانی نبودیم و گزارشهای مختلف مبین آن است که درمان و رفع پوسیدگیهای ایجاد شده به صورت فزایندهای موجب تحمیل هزینههای فراوان به مردم و سیستم درمان کشور شده است» - «البته با رویکرد پیشگیرانهای که از سال گذشته با استفاده از فلورایدتراپی و ارایه بسته خدمات ارتقایی به دانش آموزان ابتدایی آغاز شد امید میرود شاهد کاهش بروز پوسیدگی دندان کودکان در افق 1400 باشیم».
سرمایه گذاری در پیشگیری از مشکلات دهان و دندان نسلهای آینده
واضح است که حتی اگر تمام بودجه سلامت کشور صرف درمان دندانپزشکی مردم بشود، قادر به درمان همه دندانهای پوسیده و جایگزینی دندانهای از دست رفته نخواهد بود؛ اما سرمایه گذاری در آگاهی بخشی و پیشگیری میتواند بسیاری از مشکلات دهان و دندان نسلهای آینده را برطرف کند. بنابراین نقش دولت، رسانهها،دانشکدهها و تحول فرهنگ بهداشت دهان و دندان مردم امری مهم تلقی میشود که یک وظیفه همگانی برای همه ازجمله دندانپزشکان، آموزشهای بهداشت دهان و دندان و فرهنگسازی بهخصوص برای نسلهای آتی برای ارتقای سطح بهداشت دهان و دندان جامعه است.
در خاتمه مردمی که هرگز کسی از آنان در مقولاتی چون دندانپزشکی، نازایی، مشاوره و روانشناسی، پرستاری، سالمندی، آزمایشات پیشگیری، غربالگری و... حمایت بیمهای نکرده است تا اصلاً بیمار نشوند و بهمحض بیماری، بستری و جراحی نیز با توجه به چنددستگی بیمهها و از بیپولی مجبور میشوند به بیمارستانهای «دانشگاهی و دولتی هجوم آورند که خود معضلی بر درد آنان میشود و نمیتوانند خدمتی مناسب و باکیفیت دریافت کنند و حال دیگر مشکلات آنها انقدر انبوه میشود که معضلاتی دندانی نیز بار دیگر به فراموشی سپرده میشود.
انتهای پیام/