به گزارش خبرنگار اجتماعی خبرگزاری تسنیم، این مرد 31 ساله بعد از اینکه در چند نقطه از بدنش خالکوبی انجام داده بود برای شنا کردن به سواحل اقیانوس آرام رفت.
بر اساس گزارش CNN، متخصصان همواره نسبت به عواقب بعد از خالکوبی هشدار میدهند و در این مورد نیز توصیه میکنند تا زمان بهبودی کامل محل خالکوبی از حمام و شنا کردن خودداری کنند.



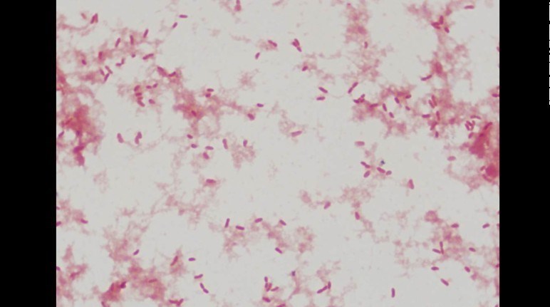
آزمایشهای پزشکی روی این مرد وجود باکتری «ویبریو ولنیفیکوس»( Vibrio vulnificus) را که معمولا در آبهای ساحلی اقیانوس یافت میشود را نشان میدهد.
طبق این گزارش به دلیل عفونت بعد از چند هفته تاولهای عفونی سراسر پای راست این مرد را فرا گرفتند.
شرایط وی با گذشت زمان بدتر شد، رو به وخامت گذاشت و در نهایت 2 ماه بعد از بستری شدن در بیمارستان درگذشت.
انتهای پیام/