1. صفحه اصلی
    • پربیننده‌ترین اخبار
    • مهمترین اخبار
    • آرشیو اخبار
  2. سیاسی
    • سیاست ایران
    • نظامی | دفاعی | امنیتی
    • گزارش و تحلیل سیاسی
    • مجلس و دولت
  3. امام و رهبری
  4. ورزشی
    • فوتبال ایران
    • فوتبال جهان
    • والیبال | بسکتبال | هندبال
    • کشتی و وزنه‌برداری
    • ورزش های رزمی
    • ورزش زنان
    • ورزش جهان
    • رشته های ورزشی
  5. بین الملل
    • دیپلماسی ایران
    • تولیدات دفاتر خارجی
    • آسیای غربی
    • افغانستان
    • آمریکا
    • اروپا
    • آسیا-اقیانوسیه
    • پاکستان و هند
    • ترکیه و اوراسیا
    • آفریقا
    • بیداری اسلامی
  6. فضا و نجوم
  7. اقتصادی
    • اقتصاد ایران
    • پول | ارز | بانک
    • خودرو
    • صنعت و تجارت
    • نفت و انرژی
    • فناوری اطلاعات | اینترنت | موبایل
    • کار آفرینی و اشتغال
    • راه و مسکن
    • هواشناسی
    • بازار سهام | بورس
    • کشاورزی
    • اقتصاد جهان
  8. اجتماعی
    • پزشکی
    • رسانه
    • طب سنتی
    • خانواده و جوانان
    • تهران
    • فرهنگیان و مدارس
    • پلیس
    • حقوقی و قضایی
    • علم و تکنولوژی
    • محیط زیست
    • سفر
    • حوادث
    • آسیب های اجتماعی
    • بازنشستگان
  9. فرهنگی
    • ادبیات و نشر
    • رادیو و تلویزیون
    • ‌دین ، قرآن و اندیشه
    • سینما و تئاتر
    • فرهنگ حماسه و مقاومت
    • موسیقی و تجسمی
  10. حوزه و روحانیت
  11. استانها
    • آذربایجان‌ شرقی
    • آذربایجان غربی
    • اردبیل
    • اصفهان
    • البرز
    • ایلام
    • بوشهر
    • استان تهران
    • چهارمحال و بختیاری
    • خراسان جنوبی
    • خراسان رضوی
    • خراسان شمالی
    • خوزستان
    • زنجان
    • سمنان
    • سیستان و بلوچستان
    • فارس
    • قزوین
    • قم
    • کاشان
    • کردستان
    • کرمان
    • کرمانشاه
    • کهگیلویه و بویراحمد
    • گلستان
    • گیلان
    • لرستان
    • مازندران
    • مرکزی
    • هرمزگان
    • همدان
    • یزد
    • جزایر خلیج فارس
  12. رسانه ها
    • چند رسانه ای
    • خواندنی
  13. بازار
    • قیمت خودرو
    • قیمت طلا، سکه و ارز
    • سازمان‌ها و شرکت‌ها
  14. عکس
  15. فیلم
  16. گرافیک و کاریکاتور
    • english
    • عربی
    • Türkçe
    • עברית
    • Pусский
  • RSS
  • تلگرام
  • اینستاگرام
  • توییتر
  •  
    آپارات
  •  
    سروش
  •  
    آی‌گپ
  •  
    گپ
  •  
    بله
  •  
    روبیکا
  •  
    ایتا
  • قیمت ارز و طلا
    لیگ ایران و جهان
  • صفحه اصلی
    • پربیننده‌ترین اخبار
    • مهمترین اخبار
    • آرشیو اخبار
  • سیاسی
    • سیاست ایران
    • نظامی | دفاعی | امنیتی
    • گزارش و تحلیل سیاسی
    • مجلس و دولت
  • امام و رهبری
  • ورزشی
    • فوتبال ایران
    • فوتبال جهان
    • والیبال | بسکتبال | هندبال
    • کشتی و وزنه‌برداری
    • ورزش های رزمی
    • ورزش زنان
    • ورزش جهان
    • رشته های ورزشی
  • بین الملل
    • دیپلماسی ایران
    • تولیدات دفاتر خارجی
    • آسیای غربی
    • افغانستان
    • آمریکا
    • اروپا
    • آسیا-اقیانوسیه
    • پاکستان و هند
    • ترکیه و اوراسیا
    • آفریقا
    • بیداری اسلامی
  • فضا و نجوم
  • اقتصادی
    • اقتصاد ایران
    • پول | ارز | بانک
    • خودرو
    • صنعت و تجارت
    • نفت و انرژی
    • فناوری اطلاعات | اینترنت | موبایل
    • کار آفرینی و اشتغال
    • راه و مسکن
    • هواشناسی
    • بازار سهام | بورس
    • کشاورزی
    • اقتصاد جهان
  • اجتماعی
    • پزشکی
    • رسانه
    • طب سنتی
    • خانواده و جوانان
    • تهران
    • فرهنگیان و مدارس
    • پلیس
    • حقوقی و قضایی
    • علم و تکنولوژی
    • محیط زیست
    • سفر
    • حوادث
    • آسیب های اجتماعی
    • بازنشستگان
  • فرهنگی
    • ادبیات و نشر
    • رادیو و تلویزیون
    • ‌دین ، قرآن و اندیشه
    • سینما و تئاتر
    • فرهنگ حماسه و مقاومت
    • موسیقی و تجسمی
  • حوزه و روحانیت
  • استانها
    • آذربایجان‌ شرقی
    • آذربایجان غربی
    • اردبیل
    • اصفهان
    • البرز
    • ایلام
    • بوشهر
    • استان تهران
    • چهارمحال و بختیاری
    • خراسان جنوبی
    • خراسان رضوی
    • خراسان شمالی
    • خوزستان
    • زنجان
    • سمنان
    • سیستان و بلوچستان
    • فارس
    • قزوین
    • قم
    • کاشان
    • کردستان
    • کرمان
    • کرمانشاه
    • کهگیلویه و بویراحمد
    • گلستان
    • گیلان
    • لرستان
    • مازندران
    • مرکزی
    • هرمزگان
    • همدان
    • یزد
    • جزایر خلیج فارس
  • رسانه ها
    • چند رسانه ای
    • خواندنی
  • بازار
    • قیمت خودرو
    • قیمت طلا، سکه و ارز
    • سازمان‌ها و شرکت‌ها
  • عکس
  • فیلم
  • گرافیک و کاریکاتور

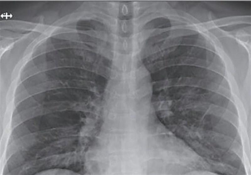
کرونا چه بلایی بر سر ریه‌ها می‌آورد؟

  • 19 فروردين 1399 - 06:40
  • اخبار رسانه ها
  • اخبار خواندنی
کرونا چه بلایی بر سر ریه‌ها می‌آورد؟

کروناویروس‌ به خاطر وجود شاخک‌های تاجی شکلی که بر روی سطوحش وجود دارد، با این نام شناخته شده و می‌تواند سبب بروز کووید 19 شود. این ویروس یک عفونت ویروسی واگیردار است که در ابتدا گلو و سپس ریه‌ فرد مبتلا را درگیر می‌کند.

رسانه ها

به گزارش گروه رسانه های خبرگزاری تسنیم، کروناویروس‌ به خاطر وجود شاخک‌های تاجی شکلی که بر روی سطوحش وجود دارد، با این نام شناخته شده و می‌تواند سبب بروز کووید 19 شود. این ویروس یک عفونت ویروسی واگیردار است که در ابتدا گلو و سپس ریه‌ فرد مبتلا را درگیر می‌کند.

کروناویروس‌ها سلول‌های زنده را آلوده می‌کنند که بتوانند از آن طریق تولید مثل کنند؛ درون ویروس‌ها ماده ژنتیکی وجود دارد که ویروس‌ها به کمک اطلاعات نهفته در آن تکثیر می‌شوند، پوسته پروتئینی ویروس محافظی سخت مانند یک حصار محکم بر روی ماده ژنتیکی آن ایجاد می‌کند که ویروس بتواند به راحتی بین موجودات زنده جا به جا شده و تکثیر شود.

در خارجی ترین لایه ویروس، شاخک‌های پروتئینی وجود دارند که به اتصال ویروس به سلول‌های سالم کمک می‌کنند؛ وقتی ویروس وارد بدن فرد می‌شود شاخک‌های موجود بر سطح ویروس به مولکول‌های گیرنده موجود بر سطح غشا سلول‌های سالم متصل می‌شود و ویروس وارد سلول‌های بدن ما می‌شود.

البته سلول‌ها نیازی به ورود به هسته سلول‌ها ندارند و می‌توانند مستقیما به بخشی از سلول دسترسی داشته باشند و از این طریق پروتئین‌های مورد نیاز برای تکثیر ویروس را می‌سازند و در نهایت یک ویروس جدید ساخته شده که شروع به حرکت به بافت‌های بدن می‌کند.

چگونگی بروز علائم عفونت ریوی

هر کدام از ریه‌ها از چند بخش تشکیل شده است، در حالت عادی هنگامی که تنفس می‌کنیم هوا آزادانه درون نای و لوله‌های تنفسی حرکت می‌کند و سپس وارد کیسه‌های هوایی می‌شود. این کیسه‌های هوایی خاصیت ارتجاعی دارند و هر کدام از آنها ساختاری مانند یک بادکنک کوچک دارد که کار تبادل اکسیژن تازه و کربن دی‌اکسید در این محل و بین رگ‌ها و کیسه‌های هوایی انجام می‌شود. لایه موجود در مجاری تنفسی بیشتر میکروب‌هارا به خود جذب می‌کند.

در بدن یک فرد سالم مژک‌هایی در مجاری تنفسی وجود دارند که مدام میکروب‌های درون مجاری تنفسی را به بیرون هدایت می‌کنند و در نهایت فرد با یک سرفه آنها را از بدن خارج می‌کند. از طرفی سلول‌های دستگاه ایمنی بدن میکروب‌ها و ویروس‌هایی که به کیسه‌های هوایی رسیده اند را نابود می‌کند اما وقتی دستگاه ایمنی بدن ضعیف باشد،‌ مثل موارد ابتلا به کرونا ویروس، ویروس‌ها می‌توانند دستگاه ایمنی بدن فرد را احاطه کرده و تحت تاثیر قرار دهند. در چنین حالتی کیسه‌های هوایی ملتهب شده و دستگاه ایمنی شروع به حمله به ویروس‌های در حال تکثیر می‌کند و در نتیجه این التهاب کیسه‌های هوایی پر از مایع می‌شوند و کار تبادل اکسیژن سخت می‌شود.

بنابر اعلام کانال خبری سازمان نظام پزشکی، عفونت ویروسی ایجاد شده می‌تواند حتی هر دو ریه فرد مبتلا را آلوده کند که به دنبال بروز این عفونت تنفس فرد سخت شده و درد سینه احساس خواهد کرد.

سرفه،‌ تب و لرز، پریشانی، سر درد، درد و کوفتگی بدن، احساس خستگی از علائم عفونت ریه است، اما عوارض این مشکل گاها جدی‌تر هم می‌شود. وقتی تنفس برای فرد مبتلا به بیماری سخت شود نارسایی تنفسی ایجاد شده و در آن شرایط فرد برای تنفس نیاز به دستگاه‌های کمک تنفسی یا ونتیلاتور خواهد بود. البته شدت بروز علائم در هر فرد وابسته به عوامل مختلفی همچون سن، شرایط ایمنی بدن و... دارد.

منبع : ایسنا

انتهای پیام/

بازگشت به صفحه رسانه‌‌ها

 
R1437/P
قیمت ارز و طلا
لیگ ایران و جهان
tasnim
tasnim
tasnim
رازی
مادیران
شهر خبر
fownix
غارعلیصدر
ازکی
طبیعت
میهن
triboon
تبلیغات
  • طراحی سایت
  • بازرگانی سیب
  • آیا بیماری اسکولیوز خطرناک است؟
  • استعلام شرکت با نام
  • بازی آنلاین
  • درباره ما
  • ارتباط با ما
  • پربیننده‌ترین اخبار
  • پیوندها
  • بازار
  • قیمت ارز و طلا
  • لیگ ایران و جهان
  • آرشیو اخبار ؛ جدیدترین اخبار لحظه به لحظه امروز
ما را دنبال کنید:
  • RSS
  • تلگرام
  • اینستاگرام
  • توییتر
  • آپارات
  • سروش
  • آی‌گپ
  • گپ
  • بله
  • روبیکا
  • ایتا

All Content by Tasnim News Agency is licensed under a Creative Commons Attribution 4.0 International License.